在地新聞
在地新聞
桃園賜安府、賜安福愛心協會至龍安派出所關懐致贈慰問品
2026-02-13
圖說:桃園賜安府、賜安福愛心協會至龍安派出所關懐致贈慰問品 。
【視傳媒記者羅蔚舟/桃園報導】隨著農曆新年腳步逼近,家家戶戶忙於除舊布新、迎接團圓時刻,然而在社會的角落,仍有一群第一線英雄默默堅守崗位,守護市民安全,為表達最誠摯的敬意,賜安府及賜安福愛心協會愛心志工團隊於春節前夕,前往龍安派出所春安關懷警察弟兄致贈20箱泡麵及點心慰問警察同仁。
桃園賜安府主委李光華表示,龍安派出所警察弟兄長期無私付出,送上20箱泡麵及沙琪瑪點心期盼補充同仁體力與能量,並在寒冬中傳遞最溫暖的力量,祈願市民平安喜樂,共同守護社區安全。
圖說:桃園賜安府、賜安福愛心協會至龍安派出所關懐致贈慰問品 。
桃園賜安福愛心協會袁慧心理事長表示,春節期間是治安、交通與救災勤務,最繁忙的時刻,第一線人員不分晝夜堅守崗位,承擔高度風險與責任,因此,賜安府及賜安福愛心協會透過實際行動,傳遞社會關懷與溫暖,也讓辛勞的執勤人員在寒冬中感受到來自地方的支持力量。
許銘耀宮主也說,過年期間,許多人能安心團圓,正是因為有第一線同仁默默付出,希望用實際行動表達感謝,讓這些第一線的地方治安守護者知道,社會沒有忘記他們的辛勞。( 圖/桃園賜安府提供)
您可能有興趣
-
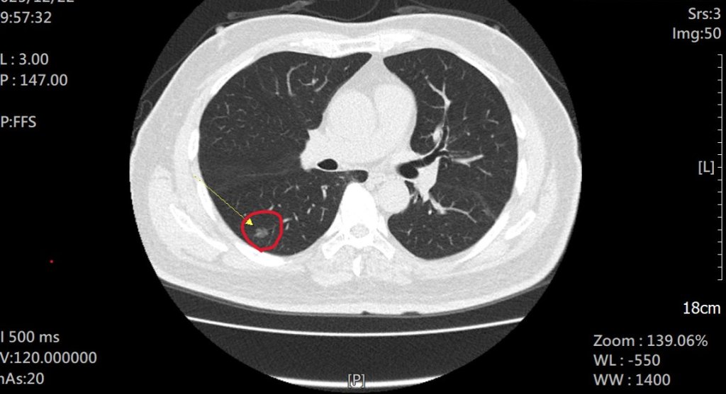
抽菸30多年男子為抱孫子戒菸 並接受LDCT檢查出1期肺癌 術後感謝孫子救了一命
66歲陳姓男子抽菸30餘年,去年年底第一個孫子誕生,他為小嬰兒吸二手菸,決心戒菸,b並前往員榮醫院胸腔內科參加戒菸門診。因符合國健署肺癌補助計畫,接受「低劑量電腦斷層(LDCT)」篩檢,卻意外檢查出右下肺部有一處直徑約 1 公分的毛玻璃狀病變,疑似早期肺腺癌,林鴻慶主任與在駐診員榮醫院的秀傳醫院副院長李佳穎醫師評估後,經手術切除,3天出院,即時撿回一命。-
2026-02-13
-
-
-
-
協助產業競爭力 彰化縣政府3.8億經費力挺企業轉型升級
彰化縣政府13日舉行「彰化縣產業升級轉型逗相挺」記者會,彰化縣長王惠美宣布提供新台幣3.8億元預算,推動產業轉型升級。王惠美說,本計畫精準鎖定產業「實體轉型」痛點,針對一般工廠、納管及特登工廠提供「貸款利息補貼」、「碳盤查」、「智慧儲能」、「低碳智慧化設備」、「私設消防栓」、及「屋頂太陽光電」等項目實質補貼,單一工廠最高補助可達200萬元。計畫將於115年3月1日正式開放受理,依序審查,額滿為止。-
2026-02-13
-
-
-
-
-
搶劫畫面曝光!桃園男子持榔頭敲破銀樓玻櫃搶金飾 被嚇跑3小時後落網
桃園市一家銀樓今(13)日發生強盜未遂案!1名男子持榔頭進入敲破玻櫃欲搶金飾未遂逃逸,警方獲報立即展開圍捕,案發約3小時後將該名搶匪逮捕移送法辦。-
2026-02-13
-
桃園市 桃園區
-
-
-